Tato technologie obrací logiku medicíny naruby. Byli jsme zvyklí léčit nemoc, když už přišla. Ale co kdyby budoucí medicína fungovala jinak — předcházela by hrozbě dřív, než skutečně vznikne? Jako kdyby zkušený kapitán dokázal zaznamenat bouři za horizontem a změnil kurz ještě včas.
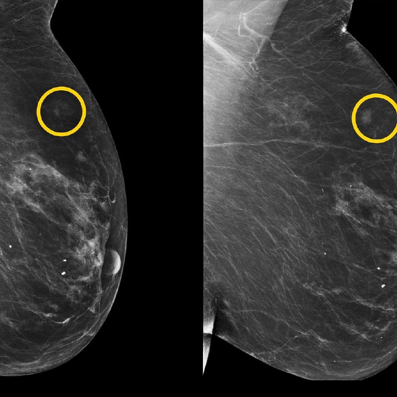
Dnes mamografie zachycuje to, co už je přítomno.
Umělá inteligence však dokáže odhalit to, co se teprve chystá projevit — mikroskopické změny struktury tkáně, skryté děje, kterých si lidské oko — byť odborné — často vůbec nevšimne.
Je to zvláštní pocit — lidé se postupně učí důvěřovat stroji, protože někdy vidí realitu ostřeji než my.

Jeden z výzkumníků MIT přiznal v rozhovoru, že zpočátku sám pochyboval. Představa, že lze předpovědět budoucí riziko bez zjevných známek, mu připadala nepravděpodobná. Ale opakované testy, dlouhodobé sledování výsledků a porovnání se skutečnými diagnózami ukázaly: model neuhádne — model rozpozná.
Učí se na milionech případů způsobem, který lidský mozek nemůže napodobit — bez únavy, bez domněnek, bez emocí.
A přesto je důležité říct: tato technologie nevytvoří absolutní jistotu. Neslibuje úplnou ochranu. Ale nabízí něco jiného — čas.
Čas na další vyšetření.
Čas na sledování.
Čas na prevenci.
Čas na klid mysli.
A tím se dostáváme k zásadní otázce:
je společnost vůbec připravena na takovou budoucnost?
Představte si lékaře, který neříká:
„Máte nemoc,“
ale:
„Za několik let se u vás může s určitou pravděpodobností vyvinout.“
To je jiná medicína — medicína předvídavosti.
Neméně důležité je téma důvěry a etiky. Bavíme se o datech, o ochraně soukromí, o velmi intimních informacích. Mamografie není jen snímek tkáně — je to hluboce osobní informace.
Technologie mají lidem sloužit, ne je nahrazovat. Umělá inteligence není soudce, ale nástroj. Neudělá rozhodnutí, pouze ukáže směr.
Pozitivní je i to, že model funguje stejně spolehlivě u žen různých etnických skupin, věku či typu tkáně. To je krok k férovější zdravotní péči.
Starší modely měly tendenci vytvářet rozdíly — nyní se algoritmus učí přirozeně rozpoznávat univerzální signály rizika.
A nesmíme zapomínat ani na psychickou stránku. Ne strach — ale úlevu.
Když člověk ví, že rizika lze zjistit včas, že je sledován odborníky,
že medicína stojí po jeho boku,
mizí paralyzující nejistota.
Představme si, že za 10–20 let bude podobná analýza standardem.
Že mamografie už nebude jen obrázek,
ale komplexní jazyk dat,
který algoritmus čte jako zkušený lingvista starý rukopis.
A pak už nebude výjimkou odhalit nemoc v úplném počátku — ale normou.
A tisíce rodin se vyhnou smutku,
protože varování přišlo dřív.
Dnes — výzkum a testování.
Zítra — praxe.
Pozítří — prevence, která překoná nemoc dřív, než ta vůbec začne škodit.
Možná se pak jednou ohlédneme a řekneme si:
jak jsme vůbec mohli žít v době, kdy jsme viděli jen zjevné a přehlíželi to, co bylo skryto mezi pixely?
A tehdy pochopíme: umělá inteligence není chladný mechanismus.
Je to nástroj, který dokáže darovat něco hluboce lidského — naději a čas.