Au fond, il s’agit de donner à des millions de femmes la possibilité de vivre sans cette peur constante, sans cette question silencieuse : « Et si quelque chose grandissait déjà en moi, sans que je ne le sache ? »
Cette technologie bouleverse la logique traditionnelle de la médecine. Nous avons toujours soigné la maladie une fois qu’elle s’est manifestée. Mais si la médecine de demain fonctionnait autrement — en anticipant les risques avant qu’ils ne deviennent une réalité ? Comme un capitaine qui voit la tempête avant qu’elle ne touche le navire et change de route à temps.
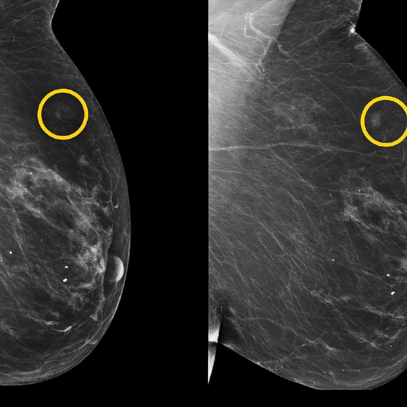
Aujourd’hui, la mammographie détecte ce qui est déjà là.
L’intelligence artificielle, elle, peut repérer ce qui est en train de naître dans l’ombre — des nuances infimes dans les tissus, des micro-indices trop subtils pour l’œil humain, même expérimenté.

C’est étrange de constater que, peu à peu, les médecins apprennent à faire confiance à une machine, parce qu’elle perçoit parfois la vérité plus clairement que nous.
L’un des chercheurs du MIT a révélé qu’il doutait lui-même au début. L’idée de prédire un risque sans signe visible lui semblait irréaliste. Mais les tests répétés, les analyses rétrospectives et la confrontation aux diagnostics réels ont démontré que le modèle ne devine pas — il comprend.
Il apprend sur des millions d’images, sans fatigue, sans biais culturels, sans croyances limitées par l’intuition humaine.
Cela dit, il faut rester lucide : cette technologie n’apporte pas une certitude absolue. Elle ne garantit pas une protection totale. Mais elle offre quelque chose de précieux — du temps.
Du temps pour surveiller.
Du temps pour intervenir.
Du temps pour prévenir.
Du temps pour garder l’esprit tranquille.
Et alors une question essentielle surgit :
sommes-nous prêts, en tant que société, pour cette nouvelle forme de médecine prédictive ?
Imaginez un médecin qui ne dit plus :
« Vous avez une maladie »,
mais :
« Il est possible qu’elle apparaisse dans quelques années. »
C’est une autre philosophie du soin.
Un autre sujet crucial est celui de la confiance et de l’éthique. On parle ici de données intimes, de vie privée, d’informations personnelles. Une mammographie n’est pas simplement une image — c’est une partie sensible de l’identité médicale d’une personne.
La technologie doit servir l’humain, pas le remplacer.
L’IA n’est pas un juge, mais un instrument.
Elle ne décide pas — elle guide.
Ce qui est encourageant, c’est que le modèle fonctionne de manière fiable pour des femmes d’origines et de profils différents. C’est un pas vers une médecine plus équitable.
Les anciens modèles avaient tendance à produire des biais selon l’origine démographique — celui-ci parvient à capter des signatures universelles du risque.
Il ne faut pas oublier non plus l’aspect psychologique. Non pas la peur — mais le soulagement.
Quand une femme sait qu’elle est suivie,
qu’elle n’est pas seule face à l’incertitude,
que la médecine veille sur elle,
la paralysie de l’inconnu s’estompe.
Imaginons qu’en 10 ou 20 ans cette analyse devienne un standard médical.
Que la mammographie ne soit plus seulement une image,
mais un texte codé que l’algorithme sait lire comme un linguiste lisant un manuscrit ancien.
Alors le dépistage précoce ne sera plus un miracle isolé,
mais une routine habituelle.
Et des milliers de vies seront soulagées d’un poids invisible,
parce que l’alerte sera arrivée à temps.
Aujourd’hui — la recherche.
Demain — l’intégration en clinique.
Après-demain — une prévention capable de dépasser la maladie avant même qu’elle ne commence.
Et un jour, en regardant en arrière, nous nous demanderons :
comment pouvions-nous vivre dans un monde où nous ne voyions que l’évident et manquions ce qui se cachait entre les pixels ?
Et nous comprendrons alors que l’intelligence artificielle n’est pas un mécanisme froid.
C’est un outil capable d’offrir quelque chose de profondément humain — l’espoir et le temps.