Ne jít dál, ale udělat krok zpět. Každý průlom, zvlášť tak tichý a nenápadný jako algoritmus běžící hluboko v serverech, si zaslouží ne potlesk, ale pochybnosti.
Medicína byla vždycky lidská. Ruce lékaře. Zkušenost. Intuice. Pohled, který „už to někdy viděl“. Jenže co když zkušenost přestává patřit člověku? Co když se rozplyne v milionech snímků, které by žádný lékař nedokázal projít ani za celý život?
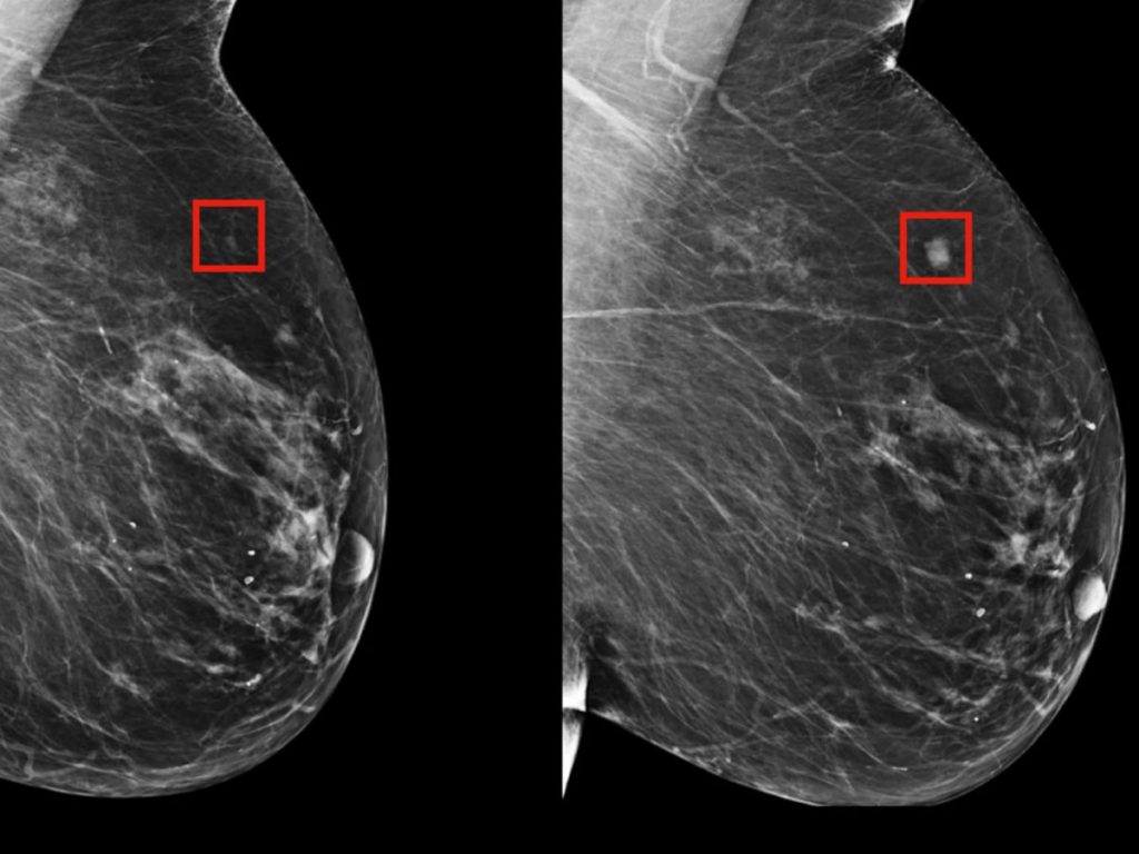
Model vyvinutý na Massachusetts Institute of Technology nehledá nádor. Hledá pravděpodobnost. Stín budoucnosti. Jemný náznak, který nekřičí, ale šeptá.
Neříká: „Máte rakovinu.“
Říká: „Vaše tělo se tímto směrem může vydat.“
A tady se objevuje první trhlina.

Jsme připraveni žít s vědomím možné verze sebe sama za pět let?
Nebo je i poznání forma bolesti — jen odložené?
Dřív přicházel strach s diagnózou. Se slovy lékaře, která dopadala jako úder. Dnes se může usadit mnohem dřív. V hlavě. V každém rozhodnutí. V plánech na děti, práci, budoucnost.
Informace přestává být neutrální. Stává se zátěží.
Existuje ale i chladnější pohled. Téměř nelidský.
Algoritmus necítí. Nemá strach z omylu. Nedívá se ženě do očí. Nepřemýšlí, jestli po těch slovech dokáže v noci usnout. On jen počítá. Přesně. Bez emocí.
A vzniká paradox:
stroj vidí víc — ale chápe méně.
Lékař může váhat. Může pochybovat. Může se mýlit.
Algoritmus je buď statisticky správný, nebo ne.
A statistika nikdy nikoho neutiší.
Pak je tu ještě třetí rovina, o které se mluví potichu.
Pokud dokáže systém předpovědět nemoc, dokáže odhadnout i jiné věci. Rizika. Slabiny. Pravděpodobnosti života.
Kdo bude tato data vlastnit?
Pojišťovny? Zaměstnavatelé? Státy?
Ve chvíli, kdy se lidské tělo změní v soubor pravděpodobností, svoboda volby začne klouzat mezi prsty.
Nikdo vám nic nezakáže — jen vám to „nedoporučí“.
Nikdo vás nebude diskriminovat — jen vás „vyhodnotí“.
A přesto… přes všechen chlad se od tohoto objevu nelze odvrátit.
Protože může zachránit tisíce životů.
Protože včasná informace znamená možnost jednat.
Protože žena, která se dozví pravdu dřív, má šanci volit léčbu, ne boj o přežití.
Dějiny lidstva se nikdy neměnily křikem, ale nástroji. Písmo. Tisk. Rentgen. Internet.
Umělá inteligence je dalším z nich. Není bohem. Není nepřítelem. Je zrcadlem, které ukazuje víc, než jsme zvyklí vidět.
A zůstává otázka, která pálí jako statická elektřina ve vzduchu:
kdo bude mít poslední slovo — člověk, nebo algoritmus?
Protože vidět budoucnost ještě neznamená umět s ní žít.