Parce que chaque révolution silencieuse, surtout lorsqu’elle se cache dans des lignes de code et des serveurs anonymes, mérite moins d’enthousiasme aveugle que de lucidité inquiète.
La médecine, jusqu’à présent, était humaine.
Les mains du médecin. Son intuition. Son expérience. Ce regard qui dit : « j’ai déjà vu ça ».
Mais que se passe-t-il lorsque l’expérience quitte le corps humain pour se dissoudre dans des millions d’images qu’aucun spécialiste ne pourra jamais examiner au cours d’une vie entière ?
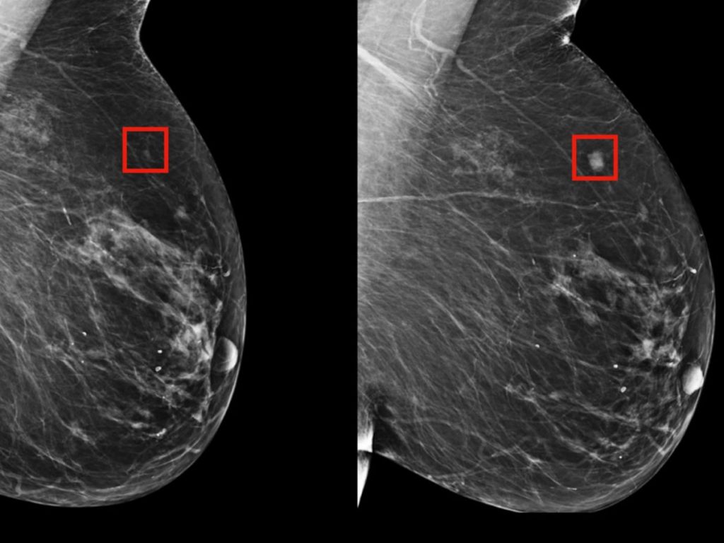
Le modèle développé au Massachusetts Institute of Technology ne cherche pas une tumeur.
Il cherche une probabilité.
Une trajectoire possible.
Un futur à peine perceptible, qui ne crie pas — il murmure.
Il ne dit pas : « Vous êtes malade. »
Il dit : « Votre corps pourrait aller dans cette direction. »

Et c’est là que la première fissure apparaît.
Sommes-nous prêts à vivre en connaissant une version possible de nous-mêmes dans cinq ans ?
Ou bien le savoir devient-il une douleur différée, plus subtile, mais tout aussi lourde ?
Autrefois, la peur naissait avec le diagnostic. Une phrase, un verdict, un choc.
Aujourd’hui, la peur peut s’installer bien avant. Dans l’esprit. Dans chaque choix. Dans chaque projet d’enfant, de carrière, de vie.
L’information cesse d’être neutre. Elle devient un poids.
Il existe aussi une autre face, plus froide. Presque inhumaine.
L’algorithme ne ressent rien.
Il ne doute pas.
Il ne voit pas les yeux de la patiente.
Il ne se demande pas si elle dormira la nuit suivante.
Il calcule.
Avec une précision implacable.
Et voilà le paradoxe :
la machine voit plus — mais comprend moins.
Le médecin peut hésiter. Se tromper. Revenir en arrière.
L’algorithme, lui, est statistiquement juste… ou non.
Et les statistiques ne consolent personne.
Il y a enfin une troisième question, celle qu’on préfère murmurer.
Si une technologie peut prédire une maladie, elle peut aussi anticiper des fragilités, des risques, des chemins de vie probables.
Qui possédera ces informations ?
Les assurances ? Les employeurs ? Les États ?
Lorsque le corps humain devient une suite de probabilités, la liberté commence à s’effriter.
On ne vous interdit rien — on vous « déconseille ».
On ne vous exclut pas — on vous « évalue ».
Et pourtant… malgré ce froid, impossible de détourner le regard.
Parce que des milliers de vies peuvent être sauvées.
Parce que savoir plus tôt, c’est pouvoir agir plus tôt.
Parce qu’une femme informée à temps peut choisir le soin, plutôt que la survie.
L’histoire de l’humanité n’a jamais basculé à cause de cris, mais à cause d’outils silencieux.
L’écriture. L’imprimerie. Le rayon X. Internet.
L’intelligence artificielle s’inscrit dans cette lignée. Elle n’est ni un dieu, ni un ennemi.
Elle est un miroir — trop précis, parfois trop honnête.
Et la question demeure, suspendue dans l’air comme une décharge électrique :
qui aura le dernier mot — l’humain ou l’algorithme ?
Car voir l’avenir ne signifie pas encore savoir comment vivre avec lui.