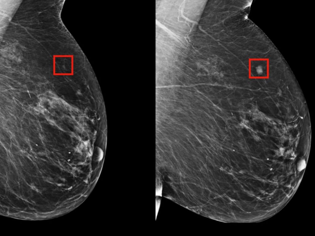
Někde mezi šedými pixely mamografu — tam, kde lékař vidí jen rovnoměrnou strukturu tkáně — algoritmus nachází mikroskopický vzor. Ne nádor. Ne stín. Dokonce ani náznak patologie. Spíš statistický šepot, který se opakuje na tisících podobných snímků žen, jež o několik let později uslyšely děsivou diagnózu.

Stroj „nevidí“ rakovinu. Rozpoznává predispozici, zašifrovanou v rozložení hustot, textur a šumu. V tom, co lidské oko považuje za náhodu.
Na tomto principu stojí systém Mirai z Massachusetts Institute of Technology — model schopný odhadnout riziko rakoviny prsu až pět let dopředu z běžné mamografie. Bez krevních testů. Bez genetiky. Bez příznaků.
To není magie. To je matematika shod, vyhnaná do extrému miliony příkladů.
Jak je to vůbec možné?
Každý mamografický snímek není jen obrázek. Je to matice čísel. Tisíce hodnot hustoty tkáně uspořádaných v prostoru.
Pro lékaře je to obraz.
Pro neuronovou síť je to jazyk.
Algoritmus se učí na stovkách tisíc snímků, u nichž je známý vývoj pacientek v následujících letech. Nehledá „nádor“. Hledá vzorce, které statisticky často předcházejí jeho vzniku.
To, co člověk vnímá jako šum, model chápe jako předzvěst.
A právě tady se láme logika tradiční medicíny: diagnóza už není vázaná na viditelné poškození. Mění se na pravděpodobnostní předpověď.
Ne „máte rakovinu“.
Ale „vaše riziko je výrazně vyšší než norma — jednejte teď“.
Proč je to děsivější než samotná diagnóza?
Protože mizí pevný bod jistoty.
Dřív to bylo jasné:
bolest → vyšetření → nález → léčba.
Teď přichází nová fáze:
nic nebolí → nic není vidět → ale riziko už je čitelné.
Je to, jako byste věděli, že za pět let přijde bouřka, zatímco obloha je dokonale modrá.
Žít s touto informací je psychologicky těžší než žít s nemocí, která už propukla. A přesto právě tady leží revoluce: čas se stává lékem.
Pět let není rozsudek. Je to okno.
Co se v medicíně skutečně mění
Screening se mění z hledání nemoci na řízení rizika.
Pacientka nedostává diagnózu, ale plán na roky dopředu.
Léčbu nahrazuje prevence: sledování, úprava životního stylu, častější kontroly, včasná opatření.
Nejdůležitější je, že rozhodnutí se děje před bodem, odkud už není návratu.
Medicína se z reaktivní stává prediktivní.
Nepohodlná otázka, o které se mluví potichu
Jestli algoritmus dokáže vidět riziko rakoviny pět let dopředu…
Co dalšího dokáže odhalit v jiných datech?
Snímky plic. Srdce. Mozku.
Spánkové rytmy. Krevní testy v čase. Dlouhodobé vzorce chování.
Při dostatku dat model nachází souvislosti, o jejichž existenci jsme dosud netušili.
A tady přichází zneklidňující myšlenka: technologie se učí číst ne nemoc — ale pravděpodobnou budoucnost těla.
Ne osud. Ale trajektorii.
Hranice, na které stojíme
Dnes je to rakovina prsu.
Zítra riziko infarktu deset let předem.
Pozítří neurodegenerativní onemocnění dřív, než se objeví první příznaky.
A pak?
Jakmile se algoritmy naučí číst možné scénáře života z biomarkerů a zdravotních dat, otázka už nebude jen lékařská, ale existenciální:
Kolik své budoucnosti chceme znát předem?
Protože poznání není jen síla. Někdy je to tíha.
A přesto nejde o strach
Jde o šanci, kterou lidstvo nikdy nemělo.
Ne dohánět nemoc. Předcházet jí.
Ne léčit následky. Vidět příčiny dřív, než se projeví.
Systémy jako Mirai z MIT nejsou o tom, že by stroje byly chytřejší než lékaři. Jsou o tom, že dávají lékařům něco, co dosud neměli: čas.
A čas je v medicíně nejcennější měnou.
A teď otázka, která visí ve vzduchu jako elektřina před bouří:
Když už technologie umí číst skryté signály našeho těla dávno před příznaky…
Budeme jednou připraveni slyšet, co všechno o naší budoucnosti dokážou říct — dřív, než to sami pocítíme?